Page 96 - LENFOİD DOKU
P. 96

Prof. Dr. Canan HURDAG





















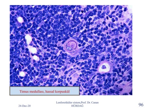
                    Timus medullası, hassal korpuskül





                                                         Lenforetiküler sistem,Prof. Dr. Canan
                   24-Dec-20                                            HÜRDAĞ                                                             96
   91   92   93   94   95   96   97   98   99   100   101