Page 94 - LENFOİD DOKU
P. 94

Prof. Dr. Canan HURDAG
























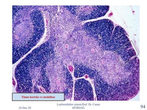
                      Timus korteks ve medullası


                                                         Lenforetiküler sistem,Prof. Dr. Canan
                   24-Dec-20                                            HÜRDAĞ                                                             94
   89   90   91   92   93   94   95   96   97   98   99