Page 64 - Lenfoid Sistem Histolojisi - Dr. Öğr. Üyesi Tuğçe Önel
P. 64
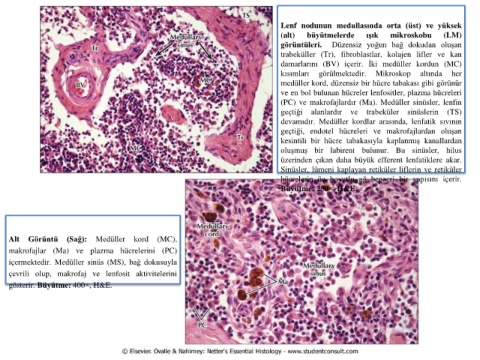
Lenf nodunun medullasında orta (üst) ve yüksek
(alt) büyütmelerde ışık mikroskobu (LM)
görüntüleri. Düzensiz yoğun bağ dokudan oluşan
trabeküller (Tr), fibroblastlar, kolajen lifler ve kan
damarlarını (BV) içerir. İki medüller kordun (MC)
kısımları görülmektedir. Mikroskop altında her
medüller kord, düzensiz bir hücre tabakası gibi görünür
ve en bol bulunan hücreler lenfositler, plazma hücreleri
(PC) ve makrofajlardır (Ma). Medüller sinüsler, lenfin
geçtiği alanlardır ve trabeküler sinüslerin (TS)
devamıdır. Medüller kordlar arasında, lenfatik sıvının
geçtiği, endotel hücreleri ve makrofajlardan oluşan
kesintili bir hücre tabakasıyla kaplanmış kanallardan
oluşmuş bir labirent bulunur. Bu sinüsler, hilus
üzerinden çıkan daha büyük efferent lenfatiklere akar.
Sinüsler, lümeni kaplayan retiküler liflerin ve retiküler
hücrelerin üç boyutlu ağ benzeri bir yapısını içerir.
Büyütme: 250×, H&E.
Alt Görüntü (Sağ): Medüller kord (MC),
makrofajlar (Ma) ve plazma hücrelerini (PC)
içermektedir. Medüller sinüs (MS), bağ dokusuyla
çevrili olup, makrofaj ve lenfosit aktivitelerini
gösterir. Büyütme: 400×, H&E.

