Page 63 - Lenfoid Sistem Histolojisi - Dr. Öğr. Üyesi Tuğçe Önel
P. 63
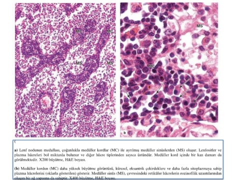
(
a) Lenf nodunun medullası, çoğunlukla medüller kordlar (MC) ile ayrılmış medüller sinüslerden (MS) oluşur. Lenfositler ve
plazma hücreleri bol miktarda bulunur ve diğer hücre tiplerinden sayıca üstündür. Medüller kord içinde bir kan damarı da
görülmektedir. X200 büyütme, H&E boyası.
(b) Medüller kordun (MC) daha yüksek büyütme görüntüsü, küresel, eksantrik çekirdeklere ve daha fazla sitoplazmaya sahip
plazma hücrelerini (oklarla gösterilen) gösterir. Medüller sinüs (MS), çevresindeki retiküler hücrelerin eozinofilik uzantılarından
oluşan bir ağ yapısına da sahiptir. X400 büyütme, H&E boyası.

