Page 87 - Merkezi sinir sistemi histoloji-2020
P. 87

Prof. Dr. Canan HURDAG

























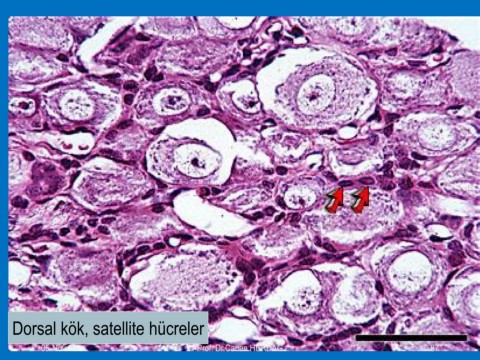
     Dorsal kök, satellite hücreler


             05-Nov-20                                      Prof. Dr.Canan HÜRDAĞ                                                 87
   82   83   84   85   86   87   88   89   90   91   92