Page 65 - Merkezi sinir sistemi histoloji-2020
P. 65

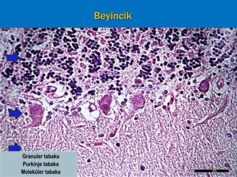
Beyincik



























                                      Prof. Dr. Canan HURDAG























            Granuler tabaka

            Purkinje tabaka

           Moleküler tabaka                                Prof. Dr.Canan HÜRDAĞ                                                 65
   60   61   62   63   64   65   66   67   68   69   70