Page 66 - LENFOİD DOKU
P. 66

Prof. Dr. Canan HURDAG



















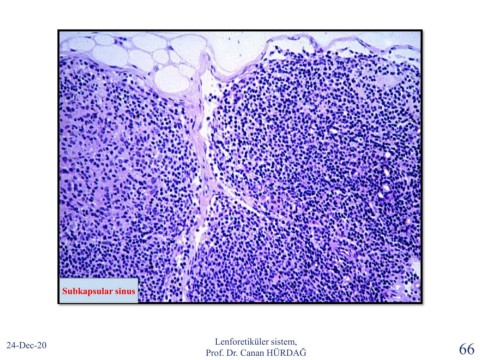
                    Subkapsular sinus








   24-Dec-20                                                     Lenforetiküler sistem,                                                    66
                                                               Prof. Dr. Canan HÜRDAĞ
   61   62   63   64   65   66   67   68   69   70   71