Page 31 - Kardiyovasküler Sistem - Dönem 2 - Dr. Öğr. Üyesi Tuğçe Önel
P. 31
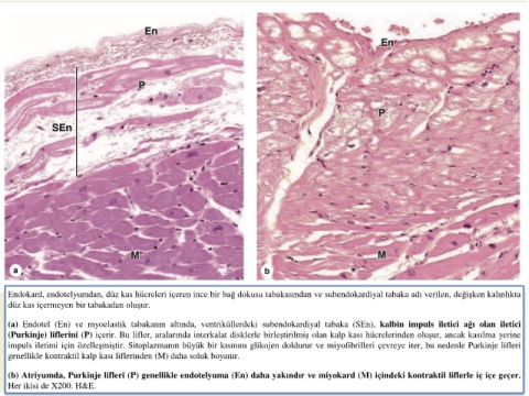
Endokard, endotelyumdan, düz kas hücreleri içeren ince bir bağ dokusu tabakasından ve subendokardiyal tabaka adı verilen, değişken kalınlıkta
düz kas içermeyen bir tabakadan oluşur.
(a) Endotel (En) ve myoelastik tabakanın altında, ventriküllerdeki subendokardiyal tabaka (SEn), kalbin impuls iletici ağı olan iletici
(Purkinje) liflerini (P) içerir. Bu lifler, aralarında interkalat disklerle birleştirilmiş olan kalp kası hücrelerinden oluşur, ancak kasılma yerine
impuls iletimi için özelleşmiştir. Sitoplazmanın büyük bir kısmını glikojen doldurur ve miyofibrilleri çevreye iter, bu nedenle Purkinje lifleri
genellikle kontraktil kalp kası liflerinden (M) daha soluk boyanır.
(b) Atriyumda, Purkinje lifleri (P) genellikle endotelyuma (En) daha yakındır ve miyokard (M) içindeki kontraktil liflerle iç içe geçer.
Her ikisi de X200. H&E.

