Basic HTML Version
Table of Contents
View Full Version
Page 43 - Erkek Genital Sistemi
P. 43
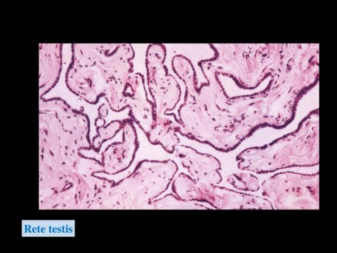
Rete testis
38
39
40
41
42
43
44
45
46
47
48