Basic HTML Version
Table of Contents
View Full Version
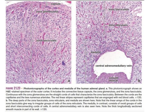
Page 73 - Endokrin Sistem Histolojisi-Dr. Öğr. Üyesi Tuğçe Önel
P. 73
68
69
70
71
72
73
74
75
76
77
78