Basic HTML Version
Table of Contents
View Full Version
Page 36 - Endokrin Sistem Histolojisi-Dr. Öğr. Üyesi Tuğçe Önel
P. 36
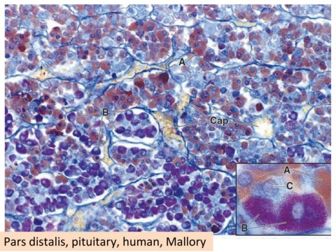
Pars distalis, pituitary, human, Mallory
31
32
33
34
35
36
37
38
39
40
41