Basic HTML Version
Table of Contents
View Full Version
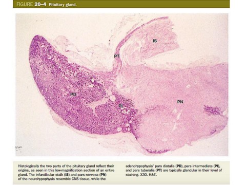
Page 18 - Endokrin Sistem Histolojisi-Dr. Öğr. Üyesi Tuğçe Önel
P. 18
13
14
15
16
17
18
19
20
21
22
23