Basic HTML Version
Table of Contents
View Full Version
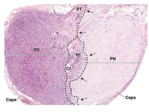
Page 12 - Endokrin Sistem Histolojisi-Dr. Öğr. Üyesi Tuğçe Önel
P. 12
7
8
9
10
11
12
13
14
15
16
17