Page 97 - ÜRİNER SİSTEM
P. 97

Prof. Dr. Canan HURDA




















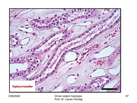
              Toplayıcı kanallar





          3/26/2020                                       Üriner sistem histolojisi,                                                 97
                                                          Prof. Dr. Canan Hürdağ
   92   93   94   95   96   97   98   99